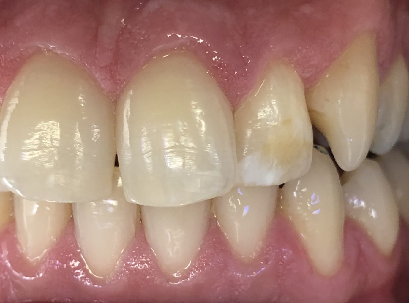
Une « tâche blanche » peut être d’origine carieuse dans le cas d’une déminéralisation sans cavitation, ou propre au développement de la dent, dans le cas d’un défaut de minéralisation avec des étiologies variées comme suite à un traumatisme ou une MIH (Molaire Incisive Hypominéralisation). Dans tous les cas, ce n’est pas un problème de coloration ou de pigmentation de la dent mais un effet optique résultant du principe de diffraction de la lumière qui s’opère dans les nombreuses porosités présentent au sein de cet émail défectueux . Alors que dans un email sain la propagation naturelle de la lumière lui donne un aspect translucide, dans un email présentant un défaut de minéralisation, la déviation du rayon lumineux incident, par diffraction, lui donne un aspect plus ou moins opaque. De plus, cette lésion peut être plus ou moins large et localisée plus ou moins profondément dans l’émail.

Le principe du traitement par érosion-infiltration est très simple. Il consiste à combler ces porosités de l’émail avec un matériau dont l’indice de réfraction est suffisamment proche de celui d’un émail sain, afin de laisser la lumière transiter sans déviation dans la zone de déminéralisation.
Pour cela, un traitement préalable doit être effectué à l’aide d’un acide pour ouvrir les porosités de l’émail en surface, après quoi la tâche sera infiltrée avec une résine hydrophobe de faible viscosité car très peu chargée (TEGDMA). Ceci aura pour conséquence de masquer la tâche. En effet, la diffusion de la lumière se faisant plus naturellement la lésion devient alors invisible à l’œil nue.

(traitement réalisé par le Dr DOMINICI Romain)
Retrouvez cet article sur : www.lefildentaire.com - "L’érosion- infiltration: un protocole simple et efficace"