
Ici, les rayonnements laser utilisés sont plutôt de type pénétrant pour leur pouvoir de décontamination et de biostimulation.
Par exemple, sur des aphtes douloureux (fig. 20) un rayonnement laser est rapproché progressivement jusqu’à une disparition quasi complète des sensibilités (fig. 21).
Fig.20 Présence de deux aphtes douloureux
Fig. 21 Traitement avec un rayonnement laser pénétrant
Cette biostimulation qui peut durer plusieurs minutes aboutit en général à une guérison très rapide et indolore des ulcérations gingivales (fig. 22)
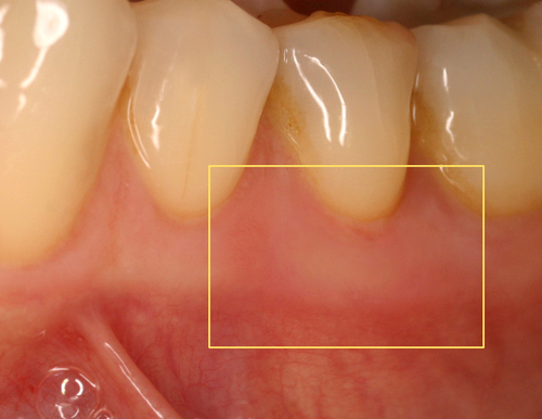
Fig.22
Cicatrisation en quelques jours
NOTE : pour certaines pathologies particulières récidivantes (lichens, etc. …), le rayonnement laser apporte un soulagement des sensibilités pénibles et une amélioration dans la vie quotidienne des patients, mais ces pathologies nécessitent souvent des traitements à répétition en fonction des récidives plus ou moins fréquentes constatées.